New Windsor, Orange County, NY Acupuncture

Acupuncture For Coronary Heart Disease

[retweet][facebook]
An important new acupuncture study from the Department of Nuclear Medicine at Peking University Shenzhen Hospital successfully measured improvements in blood flow to the heart for patients with coronary heart disease (CHD). Using single photon emission computed tomography (SPECT), researchers discovered that needling two specific acupuncture points caused significant improvements in patients with CHD. Acupuncture successfully increased “blood perfusion of ischemic myocardium.”

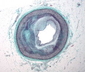
Blausen_0257_CoronaryArtery_PlaqueCoronary heart disease is due to plaque build-up in the walls of the coronary arteries, a condition known as atherosclerosis. This build-up can narrow the coronary arteries and lead to a decrease of oxygen rich blood flow to the heart. Myocardial ischemia, a condition wherein blood flow to the heart is decreased due to a blockage of the coronary arteries, can cause damage to the heart, arrhythmias, angina or even a heart attack. Conventional treatments to improve blood flow to the heart muscle include medications and surgical procedures. The new findings demonstrate that acupuncture has the ability to improve blood flow to the heart.

The study included a total of 59 patients with CHD. They were randomly assigned to 2 groups. Group 1 consisted of 32 patients and group 2 consisted of 27 cases. Group 1 received acupuncture and group 2 received nitroglycerine, a substance used in the treatment of angina, chronic heart failure, heart attacks and other heart conditions. Nitroglycerine converts to nitric oxide, a potent vasodilator. It widens the blood vessels and improves blood flow to the heart.

The acupuncture procedure used in the study consisted of electroacupuncture applied bilaterally to both PC6 (Neiguan) and UB15 (Xinshu). The acupuncture needles were retained for 30 minutes with an electroacupuncture frequency setting between 2 – 15 Hz at a strength of 9 – 18 mA. PC6 is located 2 cun, a cun is approximately 1 inch, above the transverse crease of the wrist, between the tendons of the palmaris longis and flexor carpi radialis. UB15 is located 1.5 cun lateral to T-5, at the level of the lower border of the spinous process.

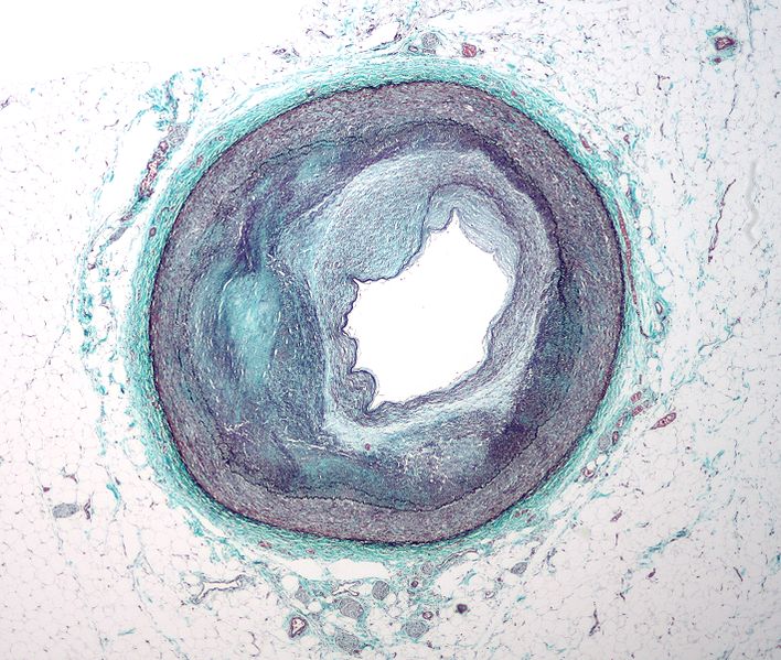
708px-RCA_atherosclerosisAccording to Traditional Chinese Medicine (TCM) theory, PC6 is a Luo-connecting point and a confluent point of the Yin Wei channel. PC6 calms the heart and shen, regulates Qi and suppresses pain. Traditional indications include: cardiac/chest pain, palpitations, stomachache, nausea, vomiting, hiccups, mental disorders, seizures (epilepsy). UB15 is a heart back-Shu point. UB15 calms the heart and Shen and regulates the Qi and blood. Traditional indications include: cardiac/chest pain, mental disorders (panic, psychosis, loss of memory), night sweats, spermatorrhea (including nocturnal emission).

Given the heart related historical use of the acupuncture points tested, the point selection is congruous with the focus of the study. The researchers concluded that both acupuncture and nitroglycerine increased blood perfusion to ischemic myocardium in patients with coronary heart disease. As a result, the researchers noted that acupuncture SPECT technology “clearly display(s)” the “therapeutic effects of acupuncture on CHD, thus providing a new visible research method for CHD studies.”

 

Excerpt from:

Acupuncture For Coronary Heart Disease